Trapezium fractures are relatively uncommon, accounting for approximately 3% to 5% of all carpal bone fractures. Despite their rarity, these injuries carry significant clinical importance due to their involvement in thumb biomechanics and the high risk of long-term functional impairment.
Anatomy and Biomechanics
The trapezium is a key carpal bone forming the base of the thumb through its articulation with the first metacarpal at the carpometacarpal (CMC) joint. This joint enables the wide range of thumb motion essential for grip and opposition.
Trapezium Fractures, particularly the body, often disrupt one or more of its four articular surfaces, frequently leading to subluxation or instability of the thumb CMC joint.
See Also: Wrist Anatomy
Mechanism of Injury
The most common mechanisms include:
- Axial loading of an adducted thumb: This force drives the base of the first metacarpal into the trapezium, often resulting in vertical or body fractures.
- Avulsion forces: Forceful deviation, traction, or rotational stress on the thumb can lead to ridge avulsion fractures.
- Direct trauma: Impact to the palmar aspect of the hand may avulse the trapezial ridge via tension from the transverse carpal ligament.
Classification of Trapezium Fractures
Trapezium fractures are typically categorized as:
- Ridge avulsion fractures (most common)
- Vertical fractures of the body
- Comminuted fractures involving articular surfaces
Body fractures are particularly concerning due to their frequent involvement of the CMC joint.
See Also: Scaphoid Fractures
Walker’s classification
- Type I: horizontal sagittal split,
- Type IIa: medial distal avulsion,
- Type IIb: medial proximal avulsion,
- Type III: lateral distal avulsion,
- Type IV: vertical sagittal split,
- Type V: communitive.

Clinical Presentation
Patients usually present with:
- Localized tenderness over the radial aspect of the wrist
- Pain exacerbated by thumb movement
- Reduced range of motion at the first CMC joint
- Possible swelling and decreased grip strength
A high index of suspicion is required, as these injuries may be overlooked on initial assessment.
Diagnostic Evaluation
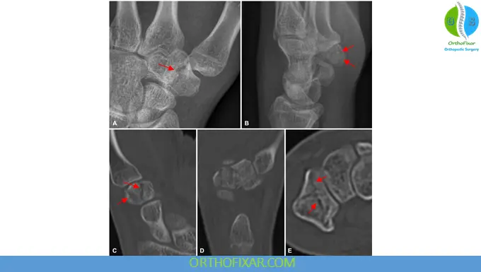
Radiographic Imaging
Standard imaging includes:
- Posteroanterior (PA) view
- Lateral view
- Robert view: A specialized true PA projection of the thumb CMC joint with the hand in maximum pronation, which minimizes overlap of the first metacarpal base.
Additional imaging:
- Carpal tunnel view: Useful for detecting dorsal ridge fractures
- CT scan: Highly sensitive for occult fractures and detailed assessment of articular involvement

Trapezium Fractures Treatment
Nonoperative Treatment
Indicated for nondisplaced fractures, management typically involves:
- Immobilization with a thumb spica cast or splint
- Duration: Approximately 6 weeks
- Goal: Maintain joint stability and allow fracture healing
Surgical Intervention
Surgical management is recommended in the following scenarios:
- Articular displacement with >1 mm step-off
- Comminuted fractures
- Grossly displaced fractures
Surgical Technique
- Approach: The Wagner approach, involving a curvilinear incision along the radial border of the thenar eminence
- Fixation: Open reduction and internal fixation (ORIF) to restore articular congruity
- Adjuncts: Bone grafting may be necessary in comminuted cases to support structural integrity
Complications
The most significant complication is posttraumatic osteoarthritis, particularly affecting the first CMC joint. This may lead to:
- Chronic pain
- Reduced thumb mobility
- Functional impairment
In severe or irreparable cases, surgical salvage procedures may be required, including:
- CMC joint fusion (arthrodesis)
- Carpometacarpal arthroplasty
Prognosis
Outcomes depend largely on:
- Accuracy of fracture reduction
- Degree of articular involvement
- Timeliness of diagnosis and treatment
Delayed or inadequate management increases the risk of long-term disability.
References & More
- Beekhuizen SR, Quispel CR, Jasper J, Deijkers RLM. The Uncommon Trapezium Fracture: A Case Series. J Wrist Surg. 2020 Feb;9(1):63-70. doi: 10.1055/s-0039-1683846. Epub 2019 Mar 27. PMID: 32025357; PMCID: PMC7000256. Pubmed
- Cação JR, Duarte ML. Isolated Trapezium Fracture: A Rare and Challenging Diagnosis. Prague Med Rep. 2025;126(4):243-245. doi: 10.14712/23362936.2025.38. PMID: 41480703. Pubmed
- Egol KA. Handbook of fractures. 6th ed. Philadelphia: Lippincott Williams & Wilkins; 2019.