Scaphoid fractures are among the most common wrist injuries encountered in emergency and outpatient settings, accounting for 50% to 80% of all carpal fractures. In the United States alone, approximately 345,000 cases occur annually, representing a notable portion of wrist-related emergency visits.
🦴 Anatomy and Blood Supply
The scaphoid is anatomically divided into:
- Proximal pole
- Waist (most common fracture site)
- Distal pole and tubercle
Notably, about 80% of the scaphoid is covered with articular cartilage, which limits vascular penetration and contributes to healing challenges.
Its blood supply primarily arises from branches of the radial artery:
- 70–80% enters dorsally, supplying the proximal pole
- The distal portion receives blood via branches entering the tubercle
This retrograde blood flow makes proximal scaphoid fractures particularly vulnerable to nonunion and osteonecrosis, as they rely heavily on fracture healing for revascularization.
See Also: Scaphoid Anatomy

⚠️ Mechanism of Injury
The most common cause is a fall onto an outstretched hand (FOOSH), producing:
- Wrist dorsiflexion
- Ulnar deviation
- Intercarpal supination
🩺 Clinical Presentation
Patients with a Scaphoid fracture typically present with:
- Wrist pain and swelling
- Tenderness in the anatomic snuffbox
- Pain over the scaphoid tubercle (volar aspect)
Provocative tests:
- Scaphoid shift test: pain with dorsal-volar movement
- Watson test: more useful for ligament injuries but may reproduce pain
🔍 Differential Diagnosis
Conditions to consider include:
- Wrist sprain or contusion
- Scapholunate instability
- Lunate dislocation
- Radial styloid or trapezium fractures
- Flexor carpi radialis tendon rupture
- de Quervain disease
- Carpometacarpal joint arthrosis
See Also: Wrist Pain Causes
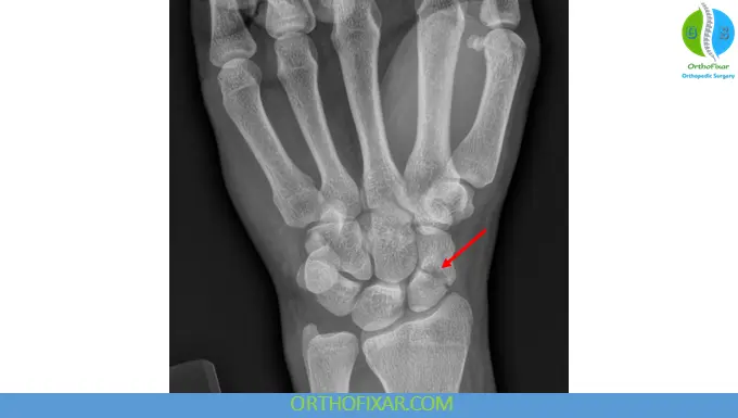
Imaging and Diagnosis
Standard radiographs include:
- PA view in ulnar deviation
- Lateral view
- Oblique and clenched fist views
However, up to 25% of initial X-rays may be negative.
If suspicion remains high:
- Immobilize and repeat X-rays in 1–2 weeks
- MRI is the most sensitive test for occult fractures and can differentiate soft tissue injuries
- CT, bone scan, or ultrasound may also assist

📊 Scaphoid Fractures Classification
By location:
- Waist: ~80%
- Proximal pole: 10–20%
- Distal pole/tuberosity: ~5%
By pattern (Russe):
- Transverse (most common)
- Horizontal oblique
- Vertical oblique
By stability:
- Stable: nondisplaced
- Unstable: >1 mm displacement, angulation, or comminution

💊 Scaphoid Fractures Treatment
Nonoperative Treatment
Indicated for:
- Nondisplaced acute fractures (especially waist and distal third)
- Tuberosity fractures
Typical protocol:
- Long arm thumb spica cast for 6 weeks
- Transition to short arm cast until union
Healing time:
- Distal: 6–8 weeks
- Waist: 8–12 weeks
- Proximal: 12–24 weeks
Healing rates:
- Distal/tuberosity: ~100%
- Waist: 80–90%
- Proximal: 60–70%
Operative Treatment
Consider surgery when:
- Displacement >1 mm
- Angulation >10°
- Comminution
- Nonunion
- High-risk proximal fractures
Surgical approach:
- Typically involves screw fixation
- Open or percutaneous depending on severity
- Screw placement along the central axis is critical for stability
Post-op care:
- Short arm thumb spica cast (~6 weeks)
- Return to sports: minimum 3 months

⚠️ Complications
- Delayed union or nonunion
- Malunion
- Osteonecrosis (especially proximal pole fractures)
- Nerve injuries (radial or median nerve branches depending on approach)
🧠 Key Clinical Takeaways
- Always suspect a scaphoid fracture in patients with snuffbox tenderness after a fall, even if X-rays are negative
- Early immobilization is essential when suspicion is high for scaphoid fractures
- MRI is the gold standard for occult scaphoid fractures
- Proximal fractures carry the highest risk of complications and often require surgical consideration
References & More
- Steinmann SP, Adams JE. Scaphoid fractures and nonunions: diagnosis and treatment. J Orthop Sci. 2006 Jul;11(4):424-31. doi: 10.1007/s00776-006-1025-x. PMID: 16897211; PMCID: PMC2780658. Pubmed
- Hayat Z, Varacallo MA. Scaphoid Wrist Fracture. [Updated 2023 Aug 4]. In: StatPearls [Internet]. Treasure Island (FL): StatPearls Publishing; 2026 Jan-. Available from: Pubmed
- Clementson M, Björkman A, Thomsen NOB. Acute scaphoid fractures: guidelines for diagnosis and treatment. EFORT Open Rev. 2020 Feb 26;5(2):96-103. doi: 10.1302/2058-5241.5.190025. PMID: 32175096; PMCID: PMC7047900. Pubmed
- Egol KA. Handbook of fractures. 6th ed. Philadelphia: Lippincott Williams & Wilkins; 2019.