A Galeazzi fracture is a distinctive forearm injury characterized by a fracture of the distal or middle third of the radius combined with disruption of the distal radioulnar joint (DRUJ). This injury pattern is clinically significant due to its instability and the high risk of long-term functional impairment if not properly managed.
Originally described in the 19th century and later detailed by Riccardo Galeazzi in 1934, this fracture remains a classic orthopedic entity requiring prompt diagnosis and appropriate treatment.
Anatomy and Biomechanics
The forearm consists of two bones—the radius and ulna—linked by:
- Interosseous membrane
- Distal radioulnar joint (DRUJ)
- Proximal radioulnar joint
These structures allow pronation and supination, essential for upper limb function. Disruption of this system, as in Galeazzi fractures, compromises forearm stability and motion.
See Also: Wrist Anatomy
Definition
A Galeazzi fracture is defined as:
- Fracture of the distal or middle third of the radial shaft, AND
- Dislocation or subluxation of the distal radioulnar joint (DRUJ)
Epidemiology
- Accounts for approximately 7% of adult forearm fractures
- Shows a bimodal distribution:
- Young males → high-energy trauma
- Elderly females → low-energy falls
Mechanism of Injury
The most common mechanism is:
- Fall on an outstretched hand (FOOSH)
- Wrist in extension and pronation
This transmits axial force along the radius, leading to fracture and DRUJ disruption.
Clinical Presentation
Patients typically present with:
- Forearm pain and swelling
- Deformity of the distal forearm
- Limited pronation/supination
- Wrist instability
Careful assessment of the DRUJ is essential, as instability may be subtle and easily missed.
See Also: Monteggia Fracture
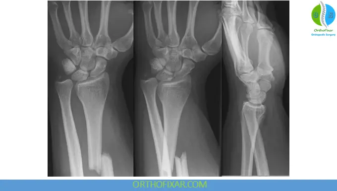
Diagnosis
Imaging
- Plain X-rays (AP & lateral views) of the forearm and wrist
- Key findings:
- Radial shaft fracture
- DRUJ widening or displacement
Failure to assess the wrist joint is a classic pitfall.
Classification (Conceptual)
There is no universally accepted classification system, but clinical relevance focuses on:
- Location of radial fracture
- Stability of the DRUJ
Notably, fracture location alone does not reliably predict DRUJ instability.

Treatment
Initial Treatment
- Immobilization (e.g., sugar-tong splint)
- Analgesia and limb elevation
- Urgent orthopedic consultation
Treatment in Adults
Surgical management is the standard of care:
- Open reduction and internal fixation (ORIF) of the radius
- Assessment and stabilization of the DRUJ
Conservative treatment in adults has poor outcomes (>90% failure reported historically).
Treatment in Children
- Typically non-operative:
- Closed reduction
- Above-elbow casting in supination
Children generally have better outcomes due to ligamentous healing capacity.
DRUJ Stabilization
If unstable after fixation:
- Temporary K-wire fixation
- Immobilization in full supination
This helps maintain joint congruity during healing.
Complications
Untreated or poorly managed Galeazzi fractures may result in:
- Chronic DRUJ instability
- Malunion or nonunion
- Reduced forearm rotation
- Persistent pain
- Functional disability
Prognosis
- Good outcomes with early anatomical reduction and fixation
- Delayed or missed diagnosis leads to significantly worse results
Early recognition is the single most important factor influencing prognosis.
Key Clinical Pearls
- Always assess the wrist in any radial shaft fracture
- Galeazzi fracture = “fracture of radius + DRUJ injury”
- Adults → surgery is almost always required
- Children → usually conservative treatment
Galeazzi Fracture VS Monteggia Fracture
| Feature | Galeazzi Fracture | Monteggia Fracture |
|---|---|---|
| Primary bone fracture | Radius (distal/middle third) | Ulna (proximal shaft) |
| Associated joint injury | Distal radioulnar joint (DRUJ) | Proximal radioulnar joint (radial head dislocation) |
| Joint location | Wrist | Elbow |
| Mechanism | FOOSH with pronation | FOOSH with hyperpronation or direct blow |
| Key instability | DRUJ instability | Radial head instability |
| Adult treatment | ORIF (almost always) | ORIF (ulna fixation) |
| Pediatric treatment | Often conservative | Often conservative |
| Common complication | Chronic DRUJ instability | Missed radial head dislocation |
Conclusion
Galeazzi fractures are unstable forearm injuries that demand a high index of suspicion and precise management. While outcomes are excellent with proper treatment, missed DRUJ injury can lead to long-term disability. For orthopedic clinicians, this injury remains a critical diagnostic and therapeutic challenge.
References & More
- Johnson NP, Smolensky A. Galeazzi Fractures. [Updated 2023 Jul 17]. In: StatPearls [Internet]. Treasure Island (FL): StatPearls Publishing; 2026 Jan-. Available from: Pubmed
- Alajmi T. Galeazzi Fracture Dislocations: An Illustrated Review. Cureus. 2020 Jul 24;12(7):e9367. doi: 10.7759/cureus.9367. PMID: 32850236; PMCID: PMC7444983. Pubmed
- Egol KA. Handbook of fractures. 6th ed. Philadelphia: Lippincott Williams & Wilkins; 2019.