A Triquetrum fracture is the second most common carpal injury after the Scaphoid bone. Despite its frequency, it is often underdiagnosed due to subtle radiographic findings and overlapping carpal anatomy. A thorough understanding of its mechanism, presentation, and management is essential for optimal patient outcomes.
Anatomy and Injury Mechanism
The triquetrum is located on the ulnar side of the proximal carpal row and articulates with the lunate, hamate, and pisiform. Its dorsal surface serves as the attachment site for key stabilizing ligaments, including the radiocarpal and intercarpal ligaments.
Common Mechanisms of Triquetrum Fracture
- Impingement (Shear) Injury
Occurs when the wrist is forced into extension and ulnar deviation. The Ulnar styloid process impacts the dorsal triquetrum, producing a shear-type fracture. - Avulsion Injury
Results from ligamentous traction on the dorsal triquetrum. These injuries reflect the strong ligamentous attachments and are frequently associated with soft tissue damage. - Direct Trauma or Compression
Less commonly, axial loading or direct impact can result in fractures of the triquetral body.
Peer-reviewed literature indexed in PubMed confirms that dorsal cortical (chip) triquetrum Fracture account for the majority of cases, followed by body fractures and volar cortical injuries.
See Also: Scaphoid Fractures
Clinical Presentation
Patients with a fractured triquetrum typically present with:
- Localized tenderness over the dorsoulnar wrist, just dorsal to the pisiform
- Pain exacerbated by wrist motion, especially extension and ulnar deviation
- Possible swelling and reduced grip strength
Palpation directly over the dorsal triquetrum elicits focal discomfort, which is a key diagnostic clue.
See Also: Wrist Pain Causes
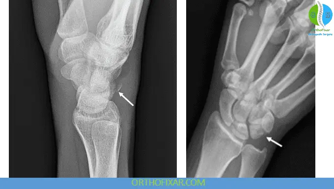
Radiographic Evaluation
Accurate imaging is critical but can be challenging:
- Posteroanterior (PA) View
Useful for identifying transverse fractures of the triquetral body. - Standard AP and Lateral Views
Often insufficient for detecting dorsal chip fractures due to superimposition by the lunate. - Oblique or Pronated Lateral View
Enhances visualization of dorsal cortical fractures and is strongly recommended when clinical suspicion persists.
Advanced imaging such as CT may be considered in equivocal cases or for surgical planning.

Classification
Triquetral fractures are broadly categorized into:
- Dorsal cortical (chip) fractures – most common
- Body fractures – may be transverse or comminuted
- Volar cortical fractures – rare, often associated with instability
Triquetrum Fracture Treatment
Nonoperative Management
Indicated for:
- Nondisplaced body fractures
- Dorsal chip (avulsion) fractures
Approach:
- Immobilization in a short arm cast or splint for approximately 6 weeks
- Gradual return to activity following symptom resolution
Important Consideration:
Dorsal chip triquetrum fractures typically heal via fibrous union, not bony union. This is well-documented in orthopedic literature and should be explained to patients. Residual tenderness may persist for several months but generally resolves without functional limitation.
Operative Management
Operative treatment of triquetrum fracture is indicated for:
- Displaced body fractures
- Fractures associated with carpal instability
Surgical Options:
- Open reduction and internal fixation (ORIF) using pins or screws
- Temporary fixation to adjacent carpal bones (e.g., lunate or hamate) when instability is present
Salvage Procedure
In rare cases where reconstruction is not feasible, excision of the triquetrum may be performed. While uncommon, this option can provide pain relief without significantly compromising wrist function.
Prognosis
The prognosis for triquetral fractures is generally favorable with appropriate management. Most patients regain full function, although mild, transient discomfort may persist in cases of dorsal avulsion injuries.
Key Takeaways
- Triquetral fractures are the second most common carpal fractures.
- Dorsal chip fractures are most frequent and often subtle on imaging.
- Clinical suspicion should guide the use of specialized radiographic views.
- Most cases respond well to conservative treatment, with excellent long-term outcomes.
References & More
- Guo RC, Cardenas JM, Wu CH. Triquetral Fractures Overview. Curr Rev Musculoskelet Med. 2021 Apr;14(2):101-106. doi: 10.1007/s12178-021-09692-w. Epub 2021 Jan 23. PMID: 33483875; PMCID: PMC7991068. Pubmed
- Pasquinelli S, Tondelli T, Guenkel S. Treatment modalities and patient reported outcomes in isolated and combined dorsal triquetrum chip fractures. Eur J Trauma Emerg Surg. 2025 Aug 22;51(1):274. doi: 10.1007/s00068-025-02947-y. PMID: 40844794; PMCID: PMC12373524. Pubmed
- Egol KA. Handbook of fractures. 6th ed. Philadelphia: Lippincott Williams & Wilkins; 2019.