Rib fractures are the most common thoracic injury encountered in trauma care. They range from simple, isolated fractures to complex patterns associated with life-threatening complications. Effective management requires a clear understanding of anatomy, injury mechanisms, associated risks, and evidence-based treatment strategies.
Epidemiology
Rib fractures are highly prevalent in trauma settings:
- Occur in up to 10% of all trauma patients
- Present in approximately 30% of patients with chest trauma
- Represent the most common injury to the thorax
Incidence increases with high-energy trauma (e.g., motor vehicle collisions) and in elderly patients due to reduced bone density.
Anatomy of the Ribs
The thoracic cage consists of 12 pairs of ribs, which are curved, flat bones that protect vital intrathoracic organs such as the heart and lungs.
Key anatomical features:
- Posterior articulation: Each rib articulates with thoracic vertebrae T1–T12
- Anterior termination: Through costal cartilage
Rib classification:
- Ribs 1–7 (True ribs): Attach directly to the sternum
- Ribs 8–10 (False ribs): Attach to the rib above via costal cartilage
- Ribs 11–12 (Floating ribs): No anterior attachment
The upper ribs (1st–2nd) are well-protected by surrounding musculature and require high-energy trauma to fracture.
Mechanism of Injury
Rib fractures occur when direct or indirect force is applied to the chest wall.
Common causes:
- Blunt trauma (most frequent)
- Motor vehicle collisions (MVC)
- Falls
- Assaults
- Penetrating trauma
- Non-traumatic causes
- Severe or chronic coughing (especially in elderly or those with pulmonary disease)
Special pattern: Flail Chest
- Defined as ≥3 consecutive ribs fractured in ≥2 places
- Creates a free-floating segment of the chest wall
- Occurs in up to 13% of chest wall trauma cases
- Associated with significant morbidity and respiratory compromise

Associated Injuries
Rib fractures often signal underlying internal injury, particularly when multiple or displaced.
Intrathoracic injuries:
- Pneumothorax (~25% in multiple rib fractures)
- Hemothorax (often from intercostal vessel injury)
- Pulmonary contusion (seen in ~54% of flail chest cases)
Intra-abdominal injuries:
- Liver injury (right-sided lower ribs)
- Splenic injury (left-sided lower ribs)
- Kidney injury (posterior rib fractures)
Other associated injuries:
- Sternal fractures (anterior trauma)
- Head and upper extremity injuries
- Major vascular injury (especially with 1st–2nd rib fractures)
Clinical Evaluation
Primary assessment:
Follow trauma protocols (ABCDE approach):
- Airway
- Breathing
- Circulation
- Disability
- Exposure
Physical examination findings:
- Localized chest wall pain
- Tenderness on palpation
- Crepitus or palpable step-off
- Paradoxical chest movement (in flail chest)
Severe cases may require respiratory support.
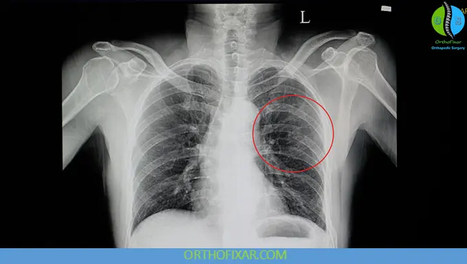
Radiologic Evaluation
Imaging modalities:
- Chest X-ray (AP view):
- Initial imaging in trauma
- Detects some fractures and complications (e.g., pneumothorax)
- Rib series:
- May improve fracture detection
- CT scan:
- Most sensitive modality
- Indicated when:
- Suspecting associated injuries
- Evaluating lung parenchyma
- Planning surgical fixation
CT should not be performed solely to diagnose rib fractures without clinical indication.

Classification
Rib fractures are described based on:
- Exposure: Open vs. closed
- Location: Anterior, anterolateral, posterolateral, posterior
- Displacement: Nondisplaced vs. displaced
- Fracture pattern: Transverse, oblique, comminuted
- Special type: Flail chest
A formal system is provided by the Orthopaedic Trauma Association (OTA) classification.
Rib Fractures Management
Nonoperative Treatment (Most Cases)
The cornerstone of treatment is adequate pain control, enabling effective respiration.
Goals:
- Maintain full lung expansion
- Preserve effective coughing
- Prevent pulmonary complications
Common measures:
- Oral or IV analgesics
- Regional anesthesia (e.g., nerve blocks)
- Incentive spirometry
- Pulmonary hygiene
Operative Management
Surgical stabilization involves open reduction and internal fixation (ORIF) using plates.
Indications:
- Persistent, severe pain causing respiratory failure
- Flail chest
- Failure to wean from mechanical ventilation
- Significant chest wall deformity
- Rib fractures encountered during thoracotomy
- Symptomatic nonunion or malunion
Outcomes:
Surgical fixation has been shown to improve respiratory function and reduce ICU stay, particularly in flail chest patients.
Complications
Complication risk correlates strongly with the number of fractured ribs.
Major complications:
1. Respiratory complications
- Pneumonia
- Respiratory failure
Pathophysiology:
Pain leads to:
- Shallow breathing
- Ineffective cough
→ Reduced lung clearance → Infection
These are major contributors to morbidity and mortality, especially in elderly patients.
2. Nonunion
- Failure of fracture healing
- Leads to chronic pain and disability
- May result in bony fusion between adjacent ribs
Key Clinical Takeaways
- Rib fractures are common but can indicate serious internal injury
- Pain control is critical to prevent pulmonary complications
- Always assess for associated thoracic and abdominal injuries
- Flail chest is a high-risk condition requiring aggressive management
- Surgical fixation is increasingly used in selected high-risk patients
References & More
- Kuo K, Kim AM. Rib Fracture. [Updated 2023 Aug 8]. In: StatPearls [Internet]. Treasure Island (FL): StatPearls Publishing; 2026 Jan-. Available from: Pubmed
- Perera TB, Alahmadi MH, King KC. Flail Chest. [Updated 2025 Jun 22]. In: StatPearls [Internet]. Treasure Island (FL): StatPearls Publishing; 2026 Jan-. Available from: Pubmed
- Egol KA. Handbook of fractures. 6th ed. Philadelphia: Lippincott Williams & Wilkins; 2019.