The Essex-Lopresti injury is a severe and often underdiagnosed forearm injury characterized by a triad of:
- Radial head fracture
- Disruption of the interosseous membrane (IOM)
- Dislocation or instability of the distal radioulnar joint (DRUJ)
This injury leads to longitudinal radioulnar dissociation and forearm instability.
Epidemiology
- Considered rare but clinically significant
- Frequently missed at initial presentation (up to 60% of cases)
- Commonly associated with high-energy trauma
Mechanism of Injury
The classic mechanism of Essex-Lopresti injury involves:
- Axial load applied to the forearm, typically from a fall on an outstretched hand (FOOSH)
- Elbow usually in extension at impact
This force transmits proximally, causing:
- Radial head fracture
- Disruption of the interosseous membrane
- DRUJ instability
See Also: Radial Head Fractures
Pathoanatomy
Key Structures Involved
- Radial head → primary stabilizer against proximal migration
- Interosseous membrane (central band) → load-sharing structure
- Distal radioulnar joint (DRUJ) → distal forearm stability
Loss of these stabilizers results in:
- Proximal migration of the radius
- Ulnar-positive variance at the wrist
- Global forearm instability

Clinical Presentation
Acute Phase
- Lateral elbow pain (radial head fracture)
- Wrist pain (often overlooked)
- Forearm tenderness
Chronic/Missed Cases
- Persistent wrist pain (ulnar impaction)
- Decreased grip strength
- Limited pronation/supination
- Elbow pain due to radiocapitellar degeneration
Diagnosis
Key Point
High index of suspicion is essential—radiographs may appear normal initially.
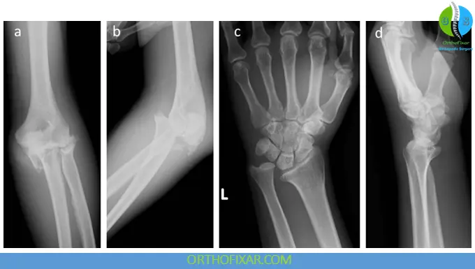
Imaging
- X-ray: radial head fracture ± DRUJ widening
- Ulna variance: increased (suggests proximal radial migration)
- MRI: evaluates interosseous membrane injury
- CT scan: better fracture characterization
See Also: Elbow X-Ray Views

Clinical Clues
- Wrist pain with radial head fracture = assume Essex-Lopresti until proven otherwise
Complications
Missed or untreated injuries can lead to:
- Chronic wrist pain (ulnar abutment syndrome)
- Radiocapitellar arthritis
- Forearm instability
- Loss of rotation and function
Essex-Lopresti injury Treatment
Acute Management
Early recognition is critical.
Surgical Principles
- Radial head preservation or replacement
- Essential to prevent proximal migration
- DRUJ stabilization
- Temporary pinning or repair
- Interosseous membrane management
- Reconstruction may be required
Chronic Injury Management
- Often more complex and less predictable
- Options include:
- IOM reconstruction (e.g., tendon graft)
- Radial head prosthesis
- Ulnar shortening osteotomy
Evidence-Based Insight
Biomechanical studies show:
- Loss of the radial head + IOM disruption leads to dramatic instability
- Combined radial head replacement and IOM reconstruction can restore near-normal stability
Prognosis
- Good outcomes if Essex-Lopresti injury is treated early
- Poor outcomes if diagnosis is delayed
- Chronic cases often result in permanent functional limitations
Key Takeaways
- Essex-Lopresti injury = radial head fracture + IOM rupture + DRUJ instability
- Frequently missed → always examine the wrist
- Radial head must be preserved or replaced
- Early treatment prevents devastating long-term complications
References & More
- Matson AP, Ruch DS. Management of the Essex-Lopresti Injury. J Wrist Surg. 2016 Aug;5(3):172-8. doi: 10.1055/s-0036-1584544. Epub 2016 Jun 20. PMID: 27468366; PMCID: PMC4959902. Pubmed
- Masouros PT, Apergis EP, Babis GC, Pernientakis SS, Igoumenou VG, Mavrogenis AF, Nikolaou VS. Essex-Lopresti injuries: an update. EFORT Open Rev. 2019 Apr 29;4(4):143-150. doi: 10.1302/2058-5241.4.180072. PMID: 31057951; PMCID: PMC6491950. Pubmed
- Kholinne E, Jeon IH. Quantitative analysis of forearm instability in an Essex-Lopresti injury model: effects of radial head replacement and interosseous membrane reconstruction. Int Orthop. 2026 Jan;50(1):141-150. doi: 10.1007/s00264-025-06699-7. Epub 2025 Nov 14. PMID: 41238929. Pubmed
- Egol KA. Handbook of fractures. 6th ed. Philadelphia: Lippincott Williams & Wilkins; 2019.