Knee Joint X-Ray Imaging
Knee joint X-ray imaging remains a cornerstone in the initial evaluation of knee pain, trauma, deformity, and degenerative disease. Despite advances in cross-sectional imaging, the knee X-ray continues to provide essential diagnostic information when used judiciously and interpreted in conjunction with a thorough clinical examination. Imaging should not be employed indiscriminately; rather, it serves as an adjunct to history and physical assessment, primarily to confirm or exclude suspected pathology.
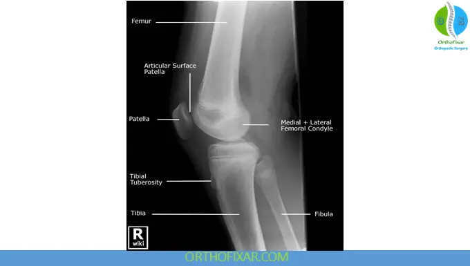
Indications for Knee Joint X-Ray Imaging
Standard radiography of the knee is most commonly obtained following acute trauma, suspected fracture, instability, deformity, or chronic pain suggestive of osteoarthritis. The anteroposterior (AP) and lateral views are the fundamental projections, with additional views selected based on the clinical question.
In a normal knee x-ray or healthy knee joint x-ray, joint spaces are preserved, cortical margins are intact, bone density is uniform, and no abnormal calcification, osteophyte formation, or malalignment is present.
See Also: Knee Ligaments Anatomy
Clinical Decision Rules for Knee Radiography
Ottawa Knee Rules
The Ottawa Knee Rules were developed to reduce unnecessary imaging in acute knee injuries. Knee radiographs are indicated if any of the following are present:
- Age ≥55 years
- Isolated patellar tenderness
- Fibular head tenderness
- Inability to flex the knee to 90°
- Inability to bear weight and walk four steps both immediately and at examination
These rules have been validated in adults and partially supported in pediatric populations.
Pittsburgh Knee Rules
The Pittsburgh Knee Rules recommend knee X-ray imaging if:
- The mechanism of injury involves blunt trauma or a fall, and
- The patient is younger than 12 years or older than 50 years, or
- The patient is unable to walk four weight-bearing steps
Many clinicians combine both rules to improve clinical decision-making.
Common Knee X-Ray Views
Depending on the suspected condition, the following views may be obtained:
- Anteroposterior (AP) view
- Lateral view (30° or 90° flexion)
- Standing AP (bilateral knees)
- Standing PA view (30° flexion)
- Intercondylar notch (tunnel) view
- Axial (skyline/sunrise) view of the patellofemoral joint
- Merchant view (for patellar subluxation and patellofemoral arthritis)
Weight-bearing views are particularly important in assessing joint space narrowing and alignment.
Interpretation of Knee X-Ray Views
Anteroposterior View
The AP view allows assessment of:
- Fractures (tibial plateau, fibular head, osteochondral lesions)
- Joint space narrowing suggestive of osteoarthritis
- Osteophyte formation (lipping)
- Varus or valgus deformity
- Loose bodies and abnormal calcifications
- Ossification patterns (e.g., Pellegrini–Stieda syndrome)
- Patellar height abnormalities (patella alta or baja)
Weight-bearing AP radiographs in 30° flexion are recommended for suspected degenerative disease. Stress AP views may demonstrate medial or lateral gapping consistent with ligamentous instability.
A healthy knee joint X-ray on AP projection shows symmetric joint spaces, smooth articular margins, and normal alignment

Lateral View
The lateral knee X-ray is typically obtained with the knee flexed to approximately 45°. This view is essential for evaluating:
- Patellar position and height (using patellar length–tendon ratios)
- Osgood–Schlatter disease
- Fabella (present in approximately 20% of the population)
- Avulsion fractures (arcuate sign, ACL or PCL insertions)
- Myositis ossificans
Standing lateral views are particularly useful in determining normal versus abnormal patellar tracking in a normal knee x ray.

Intercondylar Notch (Tunnel) View
This view evaluates:
- Tibial spine and cruciate ligament attachments
- Intercondylar notch width (notably narrower in some individuals, especially women)
- Osteochondritis dissecans (OCD)
- Loose bodies and subluxation
A reduced notch width may increase the risk of anterior cruciate ligament injury.

Axial (Skyline/Sunrise) View
The axial view is indispensable for patellofemoral pathology, including:
- Patellar subluxation or dislocation
- Trochlear dysplasia
- Patellar tilt (medial or lateral)
- Abnormal patellar morphology
In a healthy knee joint X-ray, the patella is centrally aligned within the trochlear groove with symmetric joint surfaces.

Fixed Flexion Posteroanterior View
Obtained at 10°–30° of knee flexion, this view is the most sensitive projection for detecting early joint space narrowing in osteoarthritis.

Radiographic Diagnosis of Knee Osteoarthritis
The American College of Rheumatology defines osteoarthritis using three diagnostic sets incorporating clinical, radiological, and laboratory findings. Radiographic features include:
- Joint space narrowing
- Osteophyte formation
- Subchondral sclerosis
- Bony enlargement
A knee X-ray demonstrating preserved joint space without osteophytes is consistent with a knee x ray normal and argues against established osteoarthritis.
References & More
- Bauer SJ, Hollander JE, Fuchs SH, et al. A clinical decision rule in the evaluation of acute knee injuries. J Emerg Med. 1995;13:611–615. PubMed
- O’Shea KJ, Murphy KP, Heekin D, et al. The diagnostic accuracy of history, physical examination and radiographs in the evaluation of traumatic knee disorders. Am J Sports Med. 1996;24:164–167. PubMed
- Bedson J, Croft PR. The discordance between clinical and radiographic knee osteoarthritis: a systematic search and summary of the literature. BMC Musculoskelet Disord. 2008;9:116–127. PubMed
- Stiell IG, Wells GA, Hoag RH. Implementation of the Ottawa knee rules for the use of radiography in acute knee injuries. JAMA. 1997;278:2075–2079. PubMed
- Emparanza JI, Aginaga JR. Validation of the Ottawa knee rules. Ann Emerg Med. 2001;38:364–368. PubMed
- Cohen DM, Jasser JW, Kean JR, et al. Clinical criteria for using radiography for children with acute knee injuries. Ped Emerg Care. 1998;14:185–187. PubMed
- Khine H, Dorfman DH, Avner JR. Applicability of Ottawa knee rule for knee injury in children. Ped Emerg Care. 2001;17:401–404. PubMed
- Altman R, Asch E, Bloch D, et al. Development of criteria for the classification and reporting of osteoarthritis – classification of osteoarthritis of the knee. Arthritis Rheumatism. 1986;29(8):1039–1049. PubMed
- Davies AP, Calder DA, Marshall T, et al. Plain radiography in the degenerate knee. J Bone Joint Surg Br. 1999;81:632–635. PubMed
- Jackman T, LaPrade RF, Pontinen T, et al. Intraobserver and interobserver reliability of the kneeling technique of stress radiography for the evaluation of posterior knee laxity. Am J Sports Med. 2008;36:1571–1576. PubMed
- Murray TF, Dupont JY, Fulkerson JP. Axial and lateral radiographs in evaluating patellofemoral malalignment. Am J Sports Med. 1999;27:580–584. PubMed
- Orthopedic Physical Assessment by David J. Magee, 7th Edition.