What Is the Boxer’s Fracture?
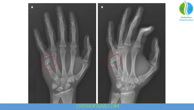
Boxer’s fracture refers to a fracture of the neck of the fifth metacarpal, typically caused by axial loading of a clenched fist (e.g., punching a hard object). It is one of the most common hand fractures seen in emergency departments.
This injury accounts for a significant proportion of metacarpal fractures, which themselves represent about 40% of all hand fractures.
Anatomy Review
The fifth metacarpal forms the skeletal support of the little finger and consists of:
- Base (articulates with carpal bones)
- Shaft
- Neck (most commonly fractured site)
- Head (articulates with proximal phalanx)
The neck is structurally weaker, making it prone to fracture under compressive forces.
See Also: Hand Anatomy: Bones & Muscles
Mechanism of Injury
The classic mechanism of Boxer’s Fracture involves:
- Punching a hard object with a closed fist
- Direct trauma to the ulnar side of the hand
- Axial force transmission through the metacarpal
This results in apex dorsal angulation, caused by the pull of interosseous muscles.
Epidemiology
- Boxer’s Fractures are common in young males (10–29 years)
- Has higher incidence in athletes and individuals involved in physical altercations
- Represents about 10% of all hand fractures
Clinical Presentation
Patients typically present with:
- Pain and swelling over the 5th metacarpal
- Tenderness over the knuckle
- Reduced grip strength
- Difficulty making a fist
- Visible deformity (“loss of knuckle contour”)
Severe cases may show:
- Rotational deformity
- Neurovascular compromise (rare but serious)
Diagnosis
1. Clinical Examination
- Inspect for deformity, swelling, and bruising
- Assess finger alignment (look for malrotation)
- Evaluate neurovascular status
2. Imaging
- Plain X-rays (AP, lateral, oblique views) confirm diagnosis
- Assess:
- Angulation
- Displacement
- Intra-articular involvement

Classification
Boxer’s fractures can be classified based on:
- Open vs. closed
- Angulation degree
- Presence of rotation
- Intra-articular extension
These factors directly influence management decisions.
Boxer’s Fracture Treatment
1. Conservative (Non-Surgical) Treatment
This is the preferred approach in most cases.
Indications:
- Closed fractures
- Minimal angulation
- No rotational deformity
- Stable fracture pattern
Treatment Methods:
- Ulnar gutter splint (intrinsic-plus position)
- Immobilization for 3–4 weeks
- Early mobilization after stabilization
Conservative treatment is effective for the majority of cases and leads to good functional outcomes.

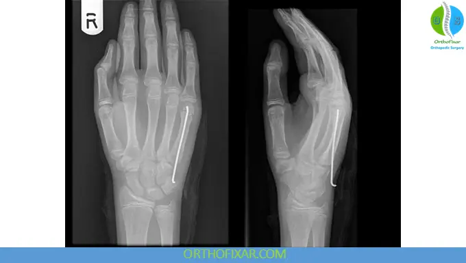
2. Surgical Management
Indications:
- Significant angulation (>40-45 degrees of angulation)
- Rotational deformity
- Open fractures
- Intra-articular involvement
- Neurovascular injury
Surgical Options:
- Kirschner wire (K-wire) fixation
- Plate and screw fixation
Surgery aims to restore alignment, prevent malunion, and improve hand function.

Acceptable Angulation
Interestingly, the fifth metacarpal tolerates greater angulation (<45-50 degrees) than other metacarpals due to compensatory motion at the carpometacarpal joint.
However, excessive angulation can lead to:
- Reduced grip strength
- Cosmetic deformity
- Functional impairment
Rehabilitation
After immobilization:
- Early physiotherapy is essential
- Focus on:
- Range of motion (ROM)
- Grip strength
- Functional hand use
Failure to rehabilitate properly can result in stiffness and long-term disability.
Complications
Potential complications include:
- Malunion (most common)
- Nonunion (rare)
- Joint stiffness
- Chronic pain
- Reduced grip strength
- Tendon injury (rare cases reported)
Prognosis
- Most patients recover well with appropriate treatment
- Functional outcomes are generally excellent
- Delayed or inadequate treatment may lead to permanent functional impairment
Key Clinical Pearls
- Always check for rotational deformity — it is poorly tolerated
- Conservative treatment works in most cases
- Early mobilization improves outcomes
- Surgical intervention is reserved for unstable or complex fractures
Conclusion
A Boxer’s fracture is a common yet clinically important hand injury. While most cases can be managed conservatively, proper assessment of angulation, rotation, and stability is essential to avoid long-term complications.
Early diagnosis, appropriate immobilization, and timely rehabilitation are the cornerstones of successful management.
References & More
- Malik S, Herron T, Taqi M, et al. Fifth Metacarpal Fracture. [Updated 2024 Feb 24]. In: StatPearls [Internet]. Treasure Island (FL): StatPearls Publishing; 2026 Jan-. Available from: Pubmed
- de Jonge JJ, Kingma J, van der Lei B, Klasen HJ. Fractures of the metacarpals. A retrospective analysis of incidence and aetiology and a review of the English-language literature. Injury. 1994 Aug;25(6):365-9. PubMed.
- Ali A, Hamman J, Mass DP. The biomechanical effects of angulated boxer’s fractures. J Hand Surg Am. 1999 Jul;24(4):835-44. PubMed
- Hussain MH, Ghaffar A, Choudry Q, Iqbal Z, Khan MN. Management of Fifth Metacarpal Neck Fracture (Boxer’s Fracture): A Literature Review. Cureus. 2020 Jul 28;12(7):e9442. doi: 10.7759/cureus.9442. PMID: 32864266; PMCID: PMC7451089. Pubmed
- Egol KA. Handbook of fractures. 6th ed. Philadelphia: Lippincott Williams & Wilkins; 2019.