×

Posterior Shoulder Dislocations

Last Revision Apr , 2026
Reading Time 4 Min
Readers 125 Times

Posterior Shoulder Dislocations is an uncommon but clinically important shoulder injury. Despite its rarity, it carries a high risk of missed diagnosis, particularly in acute care settings. This condition demands a high index of suspicion and careful radiographic evaluation to avoid missed diagnosis and long-term morbidity.

Incidence

Posterior Shoulder Dislocations:

  • Account for 2%–4% of all shoulder dislocations
  • Represent about 2% of shoulder injuries overall
  • Are missed in 60%–80% of initial evaluations, making them one of the most frequently overlooked joint dislocations

Mechanism of Injury

Indirect Trauma (Most Common)

  • Posterior Shoulder Dislocation Occurs when the shoulder is positioned in:
    • Adduction
    • Flexion
    • Internal rotation
  • Common scenarios:
    • Seizures
    • Electrical shock
  • Pathophysiology:

Direct Trauma

  • Force applied to the anterior shoulder
  • Results in posterior translation of the humeral head
See Also: Anterior Glenohumeral Dislocation

Clinical Evaluation

Posterior shoulder dislocations are often subtle in presentation:

Typical Findings

  • Arm held in:
    • Adduction
    • Internal rotation
  • Limited external rotation (often < 0°)
  • Limited forward elevation (often < 90°)

Physical Examination Signs

  • Flattened anterior shoulder contour
  • Prominent coracoid process
  • Palpable posterior mass (displaced humeral head)

Neurovascular Assessment

  • Essential to evaluate:
  • Neurovascular injuries are less common than in anterior dislocations but still possible

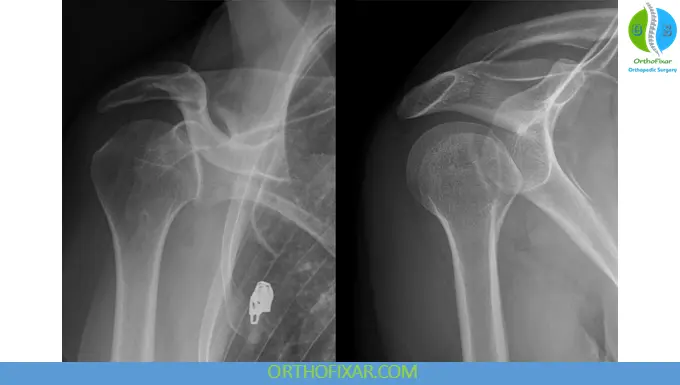
Radiographic Evaluation

A complete trauma series is mandatory:

  • AP view
  • Scapular-Y view
  • Axillary view (most diagnostic)

If standard axillary view is not feasible:

  • Use Velpeau axillary view

Key Radiographic Signs (AP View)

  • Loss of normal humeral head–glenoid overlap
  • Vacant glenoid sign (>6 mm space)
  • Trough sign (reverse Hill-Sachs lesion; seen in ~75%)
  • Internal rotation appearance (“light bulb sign”)
  • Loss of humeral neck profile

Advanced Imaging

  • CT scan:
    • Essential for evaluating humeral head impaction defects
    • Determines percentage of articular surface involvement
See Also: Shoulder X-ray Views
Posterior Shoulder Dislocations xray

Classification

Etiologic Classification

  • Traumatic: sprain, subluxation, dislocation (acute or recurrent)
  • Atraumatic:
    • Voluntary
    • Congenital
    • Acquired (microtrauma)

Anatomic Classification

  • Subacromial (98%):
    • Humeral head displaced posteriorly without gross displacement
    • Often associated with reverse Hill-Sachs lesion
  • Subglenoid (rare):
    • Humeral head posterior and inferior to glenoid
  • Subspinous (rare):
    • Humeral head medial to acromion and below scapular spine

Posterior Shoulder Dislocation Treatment

Nonoperative Management

Closed Reduction

  • Requires:
    • Adequate sedation and analgesia
    • Often general anesthesia
  • Technique:
    • Traction applied to adducted arm
    • Gentle anterior repositioning of humeral head

⚠️ Important Precaution

  • Avoid forced external rotation → risk of fracture if humeral head is locked

Special Consideration

  • If impaction fracture is locked:
    • Combine axial traction + lateral traction

Post-reduction Care

  • Immobilization:
    • Sling and swathe
    • External rotation positioning for large defects
  • Early rehab:
    • Deltoid isometrics
    • Gradual strengthening of rotator cuff
See Also: Shoulder Reduction Techniques

Operative Management

Indications

  • Irreducible posterior shoulder dislocation
  • Large humeral head defect (reverse Hill-Sachs lesion)
  • Significant fractures:
    • Lesser tuberosity
    • Posterior glenoid rim
  • Recurrent instability
  • Open dislocation

Surgical Options

  • Modified McLaughlin procedure (20%–40% defect)
  • Hemiarthroplasty (>40% defect)
  • Open reduction and stabilization
  • Tendon transfers:
  • Capsulorrhaphy or osteotomies

Special Case

  • Voluntary dislocators:
    • Managed nonoperatively with rehabilitation and counseling

Complications

Fractures

  • Posterior glenoid rim
  • Humeral head
  • Tuberosities
  • Humeral shaft

Recurrent Instability

  • More common in:
    • Atraumatic cases
    • Large humeral head defects
    • Glenoid fractures

Neurovascular Injury

Iatrogenic Anterior Subluxation

  • Caused by overtightening posterior structures
  • Leads to:
    • Limited flexion
    • Restricted internal rotation

Key Clinical Pearls

  • Always suspect posterior shoulder dislocation in:
    • Seizure patients
    • Electrical injuries
  • Do not rely on AP X-ray alone
  • Loss of external rotation is a critical clinical clue
  • Early diagnosis prevents chronic instability and joint damage

References & More

  1. Kammel KR, El Bitar Y, Leber EH. Posterior Shoulder Dislocations. [Updated 2022 Sep 12]. In: StatPearls [Internet]. Treasure Island (FL): StatPearls Publishing; 2026 Jan-. Available from: Pubmed
  2. Egol KA. Handbook of fractures. 6th ed. Philadelphia: Lippincott Williams & Wilkins; 2019.

Topic Practice Quiz

Share your Thoughts

Your email address will not be published. Required fields are marked *

Orthofixar Assistant
Hello! How can I help with your orthopedic questions?