A fracture of the fingertip bone (distal phalanx) is one of the most common hand injuries. Whether caused by a crush injury (like a door slam), sports trauma, or workplace accidents, understanding distal phalanx fracture treatment helps you recover faster and avoid long-term complications.
Everything you need to know about distal phalanx fracture treatment in simple, patient-friendly terms based on trusted orthopedic and medical literature.
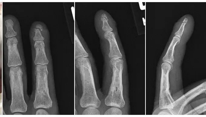
What Is a Distal Phalanx Fracture?
The distal phalanx is the bone at the tip of your finger. It supports the nail and plays a key role in fine motor skills like gripping and pinching.
Fractures here are commonly:
- Tuft fractures (tip of the bone, often crushed)
- Shaft fractures (middle part)
- Base fractures (near the joint, sometimes involving tendons)

Common Causes
- Crushing injuries (doors, heavy objects)
- Sports injuries (ball impact)
- Workplace accidents
- Sharp trauma (less common but may cause open fractures)
Symptoms
You may notice:
- Severe fingertip pain
- Swelling and bruising
- Nail damage or bleeding under the nail (subungual hematoma)
- Difficulty moving the fingertip
- Visible deformity (in severe cases)
Distal Phalanx Fracture Treatment Options
Fractured distal phalanx treatment depends on the severity and type of fracture. Most cases are treated without surgery.
1. Non-Surgical Treatment (Most Common)
For stable fractures, standard broken distal phalanx treatment includes:
Immobilization
- A splint is applied to protect the fingertip
- Typically worn for 2–4 weeks
- Keeps the distal joint slightly extended
Pain Management
- Over-the-counter pain relievers (e.g., paracetamol or NSAIDs)
- Ice application to reduce swelling
Nail Bed Care
If there is bleeding under the nail:
- Small hematomas may be drained
- Nail bed injuries may require repair
Wound Care (if open injury)
- Cleaning and dressing the wound
- Antibiotics if infection risk is present

2. Surgical Treatment (Less Common)
Surgery is considered when:
- The fracture is severely displaced
- There is joint involvement
- Open fractures with significant soft tissue injury
- Tendon injuries (e.g., mallet finger)
Procedures may include:
- K-wire fixation (small pins to stabilize bone)
- Nail bed repair
- Debridement for contaminated wounds

Recovery Timeline
- Pain and swelling: improve within 1–2 weeks
- Bone healing: typically 3–6 weeks
- Full recovery: may take up to 8 weeks
Some mild sensitivity or stiffness can last longer, especially in crush injuries.
Rehabilitation and Home Care
Proper aftercare is essential for optimal fractured distal phalanx treatment outcomes.
Do:
- Keep the splint dry and clean
- Elevate your hand to reduce swelling
- Follow your doctor’s instructions carefully
Avoid:
- Removing the splint too early
- Heavy use of the injured finger
- Ignoring worsening pain or swelling
Possible Complications
While most patients recover fully, complications can include:
- Nail deformities
- Chronic pain or sensitivity
- Stiffness of the fingertip
- Infection (especially in open fractures)
- Malunion (bone heals improperly)
Early and appropriate distal phalanx fracture treatment significantly reduces these risks.
When to See a Doctor
Seek medical attention if you have:
- Severe pain or deformity
- Deep cuts or exposed bone
- Large blood collection under the nail
- Numbness or inability to move the finger
Key Takeaways
- Most cases of broken distal phalanx treatment are simple and non-surgical
- Splinting and proper wound care are the mainstays of treatment
- Recovery is usually quick with excellent outcomes
- Early medical evaluation prevents complications
Final Thoughts
A fingertip fracture may seem minor, but proper distal phalanx fracture treatment is crucial for restoring function and preventing long-term issues. With correct care, most patients regain full use of their finger without lasting problems.
If you suspect a distal phalanx fracture, don’t delay evaluation—early management leads to the best results.
References & More
- Phalangeal Fractures Treatment & Management – Medscape
- Hand – Distal phalanges – AO Foundation
- Egol KA. Handbook of fractures. 6th ed. Philadelphia: Lippincott Williams & Wilkins; 2019.
- McDaniel DJ, Rehman UH. Phalanx Fractures of the Hand. [Updated 2023 Aug 8]. In: StatPearls [Internet]. Treasure Island (FL): StatPearls Publishing; 2026 Jan-. Available from: Pubmed