Ankle X-Ray Imaging
Ankle X-Ray imaging is a fundamental diagnostic tool used to evaluate trauma, pain, deformity, and developmental conditions of the ankle joint. It plays a critical role in identifying fractures, joint alignment abnormalities, and degenerative or inflammatory changes. In both adults and children, including pediatric ankle X-ray examinations, correct positioning and view selection are essential for accurate interpretation.
Indications for Ankle X-Ray Imaging
An ankle X-ray is commonly requested in the following clinical situations:
- Acute ankle trauma or suspected fracture
- Evaluation of ankle swelling, pain, or instability
- Suspected ligamentous injury or joint incongruity
- Follow-up of known fractures or post-operative assessment
- Pediatric ankle injuries, including physeal (growth plate) involvement
- Assessment of arthritis, infection, or congenital deformities
The ankle joint X-ray remains the first-line imaging modality before advanced studies such as CT or MRI.
See Also: Ottawa Ankle Rules
Common X-Ray Views of the Ankle
Proper evaluation of the ankle requires multiple projections to visualize the bones and joint spaces adequately. The following are the most commonly used views in routine and specialized ankle imaging.
1. Anteroposterior (AP) View of the Ankle
This view demonstrates the distal tibia, fibula, ankle joint space, and talus.
- Weight-bearing AP views are particularly useful for assessing joint alignment and degenerative changes.
- Non–weight-bearing views are commonly used in acute trauma when pain limits standing.

There are some radiographic parameters of the ankle on anteroposterior (AP) View that should be noted in case of ankle trauma:
- The medial clear space is the space between the talus and medial malleolus. It is normally ≤ 4 mm wide, and values greater than this indicate a lateral talar shift with disruption of the ankle mortise (e.g., fibular fracture) with disruption of the deltoid and tibiofibular ligaments and, therefore, of the tibiofibular syndesmosis.
- The tibiofibular overlap or tibiofibular clear space should be at least 6 mm, and greater than 1 mm in the mortise view, although any alteration and related injury has been questioned.
- In addition, the configuration, congruity, and inclination of the talar dome in relation to the tibial vault above it should be noted, because it may indicate an osteochondral lesion or OCD.
- If epiphyseal plates are present, the examiner should note whether they appear normal. Any increase or decrease in joint space, greater reduction of the tibial overlap, widening of the interosseus space, and greater visibility of the digital fossa should also be noted.
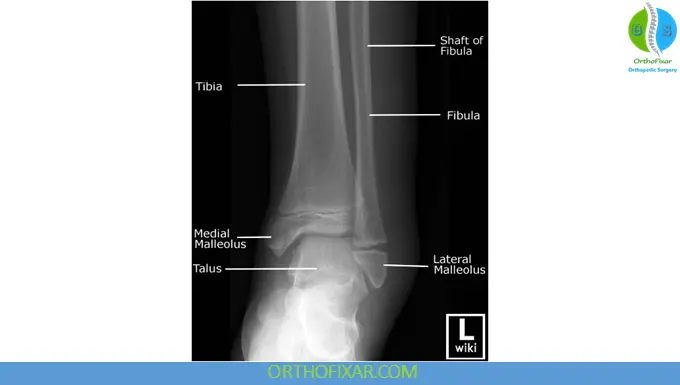
See Also: Ankle Anatomy

2. Lateral View of the Ankle
The lateral view provides a side profile of the ankle joint, showing:
- Tibia, fibula, talus, and calcaneus
- Posterior malleolus and subtalar joint
This projection is critical in evaluating X-ray of a fractured ankle, especially posterior malleolar fractures and joint effusion. The examiner must note whether the epiphyseal lines are normal and whether there is any increase or decrease in joint space. When viewing lateral films, the examiner must also be aware of Sever’s disease and Köhler’s disease. The presence of a Haglund deformity (abnormally enlarged posterosuperior aspect of calcaneus)

3. Mortise View (Anteroposterior Oblique – Routine Ankle)
The mortise view is obtained by internally rotating the leg approximately 15–20 degrees.
- Provides a clear, unobstructed view of the ankle mortise
- Essential for assessing syndesmotic integrity
- Widely used in trauma cases and fracture classification
This is one of the most important views in routine ankle joint X-ray evaluation.

Pediatric Ankle X-Ray Considerations
In pediatric ankle X-ray imaging, special attention is required to identify growth plates (physes).
- Salter–Harris fractures may be subtle
- Comparison views or follow-up imaging may be necessary
- Radiation dose should always be minimized using pediatric protocols

Radiographic Criteria for Syndesmosis Injury
| Criteria | Threshold / Measurement | Description |
| Medial Clear Space | > 4 mm | Distance between the lateral aspect of the medial malleolus and the medial aspect of the talus. |
| Tibiofibular Overlap | < 2.1 mm (♀) / < 5.7 mm (♂) | Measured 1 cm proximal to the tibial plafond. |
| Tibiofibular Clear Space | < 5.2 mm (♀) / < 6.5 mm (♂) | Distance between the medial border of the fibula and the lateral border of the posterior tibial tubercle. |
Clinical Importance of Ankle X-Ray Imaging
Accurate interpretation of an ankle X-ray depends on obtaining appropriate views and understanding normal anatomy and variants. Proper imaging helps:
- Confirm or exclude fractures
- Guide treatment decisions
- Monitor healing and alignment
- Reduce the need for unnecessary advanced imaging.
References & More
- Patel P, Russell TG. Ankle Radiographic Evaluation. [Updated 2023 Apr 24]. In: StatPearls [Internet]. Treasure Island (FL): StatPearls Publishing; 2025 Jan-. Available from: Pubmed
- Orthopedic Physical Assessment by David J. Magee, 7th Edition.