Luxatio erecta, also known as Inferior Shoulder Dislocation, is a very rare form of shoulder dislocation. Although uncommon, it is clinically significant due to its high association with neurovascular injury and soft tissue damage. It tends to occur more frequently in elderly individuals, often following trauma.
Mechanism of Injury
Luxatio Erecta injury classically results from a forceful hyperabduction of the arm.
- The humeral neck impinges against the acromion
- This creates a levering effect, forcing the humeral head inferiorly out of the glenoid
- The articular surface faces inferiorly, losing contact with the glenoid
- The humeral shaft is displaced superiorly
This distinct biomechanics explains the characteristic clinical posture seen in affected patients.
See Also: Anterior Glenohumeral Dislocation
Associated Injuries
Luxatio erecta is rarely an isolated injury. Common associated conditions include:
- Rotator cuff tears or avulsions
- Pectoralis muscle injury
- Proximal humerus fractures
- Axillary artery injury
- Brachial plexus injury
These associated injuries significantly influence prognosis and management.
Clinical Evaluation
Patients present with a pathognomonic posture:
- Arm fixed in 110°–160° of abduction and forward elevation
- Appearance often described as a “salute” position
- Severe pain is typical
- The humeral head may be palpable in the axilla or along the lateral chest wall
Key Point:
A thorough neurovascular examination is essential, as neurovascular compromise is present in nearly all cases.
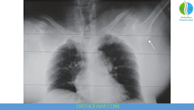
Radiographic Evaluation
A standard trauma shoulder series is required:
- Anteroposterior (AP) view
- Scapular-Y view
- Axillary view
Typical Findings:
- Inferior displacement of the humeral head
- Humeral shaft directed superiorly, often aligned with the glenoid margin
Careful assessment is crucial to detect associated fractures, which are common and may be masked by diffuse pain.

Luxatio Erecta Treatment
Nonoperative Management (Primary Approach)
- Urgent reduction is required
- Performed using traction–countertraction technique:
- Apply axial traction in line with the humerus (superolateral direction)
- Gradually reduce abduction
- Apply countertraction with a sheet in the opposite direction
Post-reduction Care:
- Immobilization in a sling for 3–6 weeks
- Shorter immobilization in elderly patients to reduce risk of stiffness
Operative Management
Surgical intervention is indicated when:
- The humeral head becomes “buttonholed” through the inferior capsule
- Closed reduction fails
Procedure:
- Open reduction
- Enlargement of the capsular defect
- Repair of soft tissue injuries
Complications
The most important complication is:
Neurovascular Injury
- Occurs in nearly all cases
- Commonly involves:
- Axillary nerve
- Brachial plexus
- Axillary artery
- Fortunately, most deficits improve after reduction
Key Takeaways
- Luxatio erecta is a rare but serious shoulder dislocation
- Caused by hyperabduction injury
- Presents with a fixed abducted arm (“salute” position)
- Neurovascular compromise is common
- Requires urgent reduction and careful evaluation for associated injuries

References & More
- Kammel KR, Leber EH. Inferior Shoulder Dislocations. [Updated 2023 Aug 7]. In: StatPearls [Internet]. Treasure Island (FL): StatPearls Publishing; 2026 Jan-. Available from: Pubmed
- Kothari K, Bernstein RM, Griffiths HJ, Standertskjöld-Nordenstam CG, Choi PK. Luxatio erecta. Skeletal Radiol. 1984;11(1):47-9. doi: 10.1007/BF00361132. PMID: 6710180. Pubmed
- Wolf O, Ekholm C. Luxatio erecta of the humerus: the spectrum of injury of inferior shoulder dislocation and analysis of injury mechanisms. JSES Rev Rep Tech. 2022 Sep 2;2(4):497-504. doi: 10.1016/j.xrrt.2022.08.004. PMID: 37588456; PMCID: PMC10426465. Pubmed
- Egol KA. Handbook of fractures. 6th ed. Philadelphia: Lippincott Williams & Wilkins; 2019.
vp satın al