An anterior shoulder dislocation occurs when the head of the upper arm bone (humerus) slips out of the shoulder socket (glenoid) toward the front. The shoulder joint—known medically as the glenohumeral joint—is the most mobile joint in the body, which also makes it the most commonly dislocated.
Anterior dislocations account for over 90–95% of all shoulder dislocations, making this the most frequent type.
Causes and Mechanism
This injury typically happens when the arm is forced into a position of:
- Abduction (raised away from the body)
- External rotation (rotated outward)
- Extension (moved backward)
Common causes of Anterior Shoulder Dislocation include:
- Falls onto an outstretched arm
- Sports injuries (e.g., football, basketball)
- Motor vehicle accidents
- Direct trauma to the shoulder
Symptoms
Patients with Anterior Shoulder Dislocation usually experience:
- Severe shoulder pain
- Visible deformity (the shoulder may appear “squared off”)
- Inability to move the arm
- Swelling and bruising
- A feeling that the shoulder has “popped out”
In some cases, there may be:
- Numbness or tingling, especially over the outer shoulder (possible nerve involvement)
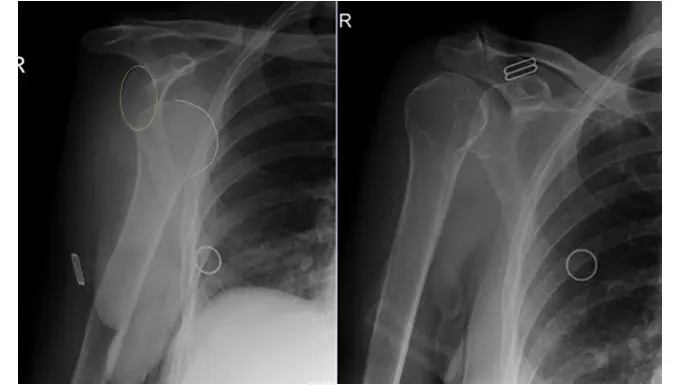
Diagnosis
Diagnosis is based on:
- Clinical examination (appearance and limited movement)
- Imaging, usually X-rays, to:
- Confirm the dislocation
- Rule out associated fractures
Advanced imaging (e.g., MRI) may be used later to assess soft tissue injuries such as ligament or labral damage.

Anterior Shoulder Dislocation Treatment
1. Reduction (Putting the joint back in place)
- This is the first and most urgent step
- Performed by a trained healthcare professional
- Often done under sedation or analgesia
2. Immobilization
- The arm is placed in a sling for a short period (usually 1–3 weeks)
- Duration depends on age, activity level, and recurrence risk
3. Rehabilitation
- Physical therapy is essential to:
- Restore range of motion
- Strengthen shoulder muscles
- Prevent recurrence
4. Surgery (in selected cases)
- Recommended if:
- There are recurrent dislocations
- Significant ligament or labral tears (e.g., Bankart lesion)
- Associated fractures
Possible Complications
If not properly treated, anterior shoulder dislocations can lead to:
- Recurrent instability (especially in younger patients)
- Labral tears (Bankart lesion)
- Bone injuries (Hill-Sachs lesion)
- Nerve injury (commonly the axillary nerve)
- Stiffness or chronic pain
Recovery and Prognosis
- Most patients recover well with appropriate treatment
- Recovery time varies from weeks to months
- Younger and more active individuals have a higher risk of recurrence
- Adhering to rehabilitation significantly improves outcomes
When to Seek Medical Care
Seek immediate medical attention if:
- You suspect a dislocated shoulder
- There is severe pain or deformity
- You cannot move your arm
- There is numbness or weakness
Important: Do not attempt to “pop” the shoulder back yourself—this can cause further injury.
Prevention Tips
- Strengthen shoulder and rotator cuff muscles
- Use proper techniques in sports
- Wear protective gear when appropriate
- Avoid high-risk movements if you have a history of dislocation
Summary
Anterior shoulder dislocation is a common but treatable injury. Early diagnosis, proper reduction, and structured rehabilitation are key to a full recovery and preventing future dislocations.

References & More
- Cutts S, Prempeh M, Drew S. Anterior shoulder dislocation. Ann R Coll Surg Engl. 2009 Jan;91(1):2-7. doi: 10.1308/003588409X359123. PMID: 19126329; PMCID: PMC2752231. Pubmed
- Egol KA. Handbook of fractures. 6th ed. Philadelphia: Lippincott Williams & Wilkins; 2019.